Precision TMS using EEG + neuronavigation to target your exact brain networks.

Precision TMS in Southlake, TX

Depression and anxiety don’t care. We do. This is why we use a Holographic Algorithm for Localization and Optimization (HALO) to create a baseline of neurologic activity and targets for neuronavigated Transcranial Magnetic Stimulation (TMS)

We Measure the Brain Before We Treat It

In just 90 minutes, HALO provides data-informed insights to support clinician selection of treatment approaches.

Precision TMS (pTMS): Millimeters Matter

Compassion Neurohealth is dedicated to precision TMS, so that your outcomes are the best they can be. We use several technologies not found in most TMS clinics to optimize your treatment for depression, anxiety, OCD, PTS and peri/post-partum conditions. Started by Russ and Heidi Toll, the clinic was built on a calling to serve others with integrity, expertise and compassion. Their mission is simple: Deliver precision TMS that optimizes outcomes.

+ weeks

Early improvements are commonly reported within the first few weeks.

0 Scans

We measure your brain before, during, and after treatment.

0 Technologies

We combine five cutting-edge technologies to ensure your treatment is personalized, targeted, and optimized for your brain.

Healing Starts with Understanding

How HALO

HALO analyzes EEG data to provide insights into brain activity patterns that support clinician decision-making

Measure

Using electro-encelography (EEG) we capture how your neurons are working or not working.

electro-encelography (EEG)
Analyze

HALO analyzes the data from the EEG to create a baseline for any treatment (SSRI, Ketamine, etc) and treatment parameters for TMS.

HALO™ analysis platform, which evaluates brain network patterns
Treat

Neuronavigated TMS stimulates the areas identified by HALO, helping restore any dysregulated neuronetworks that are causing depression, anxiety or otherwise.

neuronavigation technology to precisely guide the TMS

Measured. Targeted. Life-changing. Your path to hope starts here.

Real Stories, Real Hope

Hope, Backed by Science

Judy Bourne
"My husband has seen incredible improvement in his mental health with this treatment. We are so appreciative of these services."
Jack
"Dr. Toll is an amazing and very committed provider. I've never had a provider care so much about his patient from start to finish. The name is very fitting, his practice is about compassion."
Lilly Patterson
"Russell really goes above and beyond for his patients. The treatments also really help with depression and other mental issues. This has been a great option instead of medication has helped so much more."
Precision Mental Health Care

Science meets compassion

Every brain is unique, and so is every treatment at Compassion NeuroHealth — we measure your brain first and use HALO-guided TMS to target the networks that matter most for your recovery.

Brain Mapping with HALO

A 20-minute EEG measures your brain’s network activity and creates a personalized baseline using our clinical decision support software, HALO.

Brain Mapping with HALO
Precision Brain Mapping

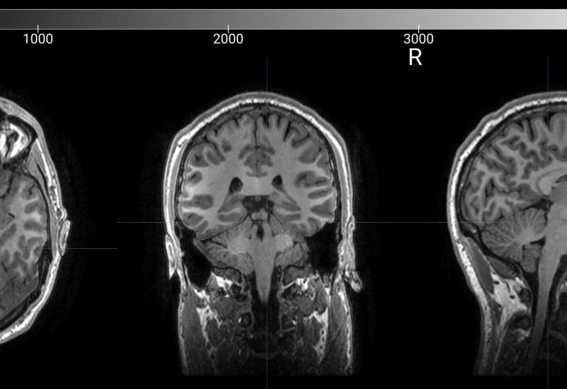
We use a 5 min structural MRI to increase the accuracy of your neuro-navigated TMS treatment.

Magnetic Resonance Imaging (MRI)
TMS Treatment

We target aberrant brain networks — activating underactive regions or calming hyperactive ones — instead of defaulting to a single stimulation site.

a woman undergoing a non-invasive brain therapy known as Transcranial Magnetic Stimulation (TMS)
DR. Russ Toll and Heidi
Our Story

Healing First. Always.

Compassion Neurohealth is dedicated to precision TMS, so that your outcomes are the best they can be. We use several technologies not found in most TMS clinics to optimize your treatment for depression, anxiety, OCD, PTS and peri/post-partum conditions. Started by Russ and Heidi Toll, the clinic was built on a calling to serve others with integrity, expertise and compassion. Their mission is simple: Deliver precision TMS that optimizes outcomes.

Dr. Russell Toll on a mission in Iraq

Dr. Russell Toll on a mission in Iraq , 2007.

Why We Exist

From service to science, bringing hope to every brain.

Compassion NeuroHealth began from a simple, urgent call to heal. Before becoming a neuro scientist, Dr. Russell Toll served in the military, where he saw firsthand how depression, trauma, and suicide impact lives indiscriminately. Losing friends and carrying unanswered questions, he knew the traditional system wasn’t enough. That experience inspired a mission: to create a place where every patient is seen, understood, and cared by measuring first and then treating with state of the art technology.

Acting on that mission, Dr. Toll and Heidi Toll — a pediatric nurse with years of clinical experience — built a clinic focused on making advanced neuroscience accessible. From veterans and Gold Star families to professionals, parents, and students, they measure the brain before treating it, using precision tools like EEG and HALO to support neuro-navigated TMS. Their goal is simple: heal with compassion, guided by science, and never give up on someone’s story.

We Speak Hooah

And a little bit of oorah. If you’re a current Service member or Veteran looking for help from someone who “gets it” you’ve made it to the right ORP.

Our founder, Dr Toll, knows what it is like to be blown up. After graduating from West Point he deployed to Iraq and he lost over 20 soldiers and had another 30 wounded. After his deployment he was assigned as the Casualty Assistance Officer. That was where he knocked on 20 doors to give notice to a Gold Star Family. Our business leader, Bret Petkus, is also a West Point graduate who spent a career in healthcare and the life sciences.

We know the stigma that prevents many of our tribe from seeking help.

We know 22 and we’re doing something about it.

Here you can receive treatment from someone who’s also survived outside the wire on Royales and
Rip-Its and will never leave a fallen comrade.

You’re Not Alone Mom

Little girl smiling holding her mother’s stomach who is pregnant

One in eight moms is suffering from postpartum depression and the rate is increasing. Over the pandemic the rate tripled and it’s not hard to see why. Years of layoffs, sickness, loss, and stress have made the hardest job harder than ever. 

Moms are now experiencing PTSD at a rate higher than combat veterans.

Many moms, especially those who choose breastfeeding, are understandably hesitant to take medications for fear of pass-through effects to her baby.

TMS is a safe, effective, non-pharmaceutical alternative with no risk to your baby.

Let us help you regain your strength.