Precision Brain Mapping

We take a comprehensive approach to understanding the brain by combining multiple sources of data—including MRI, EEG, and HALO™—to support more informed and personalized treatment decisions.

This integrated approach allows our clinicians to better understand each individual and guide care with greater insight.

HALO™ analysis platform, which evaluates brain network patterns

HALO™ Clinical Decision Support

HALO is our proprietary clinical decision support platform developed from years of experience in TMS, EEG, and MRI research.

It analyzes EEG data to provide objective, interpretable insights into brain activity patterns—helping clinicians better understand each patient’s unique brain function.

Why HALO Matters:
Traditional TMS approaches often rely on generalized targeting methods.

HALO introduces an additional layer of data-informed insight, allowing clinicians to incorporate individualized brain activity patterns into treatment planning.

What HALO Provides:
– Insights into brain activity and functional patterns
– Additional context to support clinical evaluation
– Data-informed input for treatment planning

What HALO Does Not Do:
– Does not diagnose medical conditions
– Does not prescribe or determine treatment
– Does not replace clinician judgment

Clinician-Led Care:
HALO is designed to support—not replace—clinical expertise.

All treatment decisions are made by your clinician based on a comprehensive evaluation, including your symptoms, history, and individual needs.

EEG Brain Mapping

EEG (Electroencephalogram)

EEG is a non-invasive method used to measure electrical activity in the brain.

It provides real-time information about brainwave patterns, offering insight into how different regions of the brain are functioning.

How EEG Is Used:
EEG serves as an important source of functional brain data and may be used alongside clinical evaluation to support a more complete understanding of brain activity.

Key Benefits:
– Non-invasive and well tolerated
– Provides real-time brain activity data
– Adds depth to clinical understanding

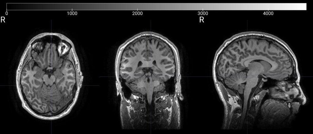
MRI (Magnetic Resonance Imaging)

MRI provides detailed images of brain structure and anatomy.

This allows clinicians to visualize key areas of the brain and better understand the structural context of each patient.

How MRI Is Used:
MRI may be used alongside EEG and HALO insights to support a more comprehensive evaluation and treatment planning process.

Key Benefits:
– High-resolution anatomical imaging
– Supports clinical evaluation
– Provides structural context for care

Integration

By combining structural imaging (MRI), functional measurement (EEG), and data-informed insights (HALO), we provide a more comprehensive view of each patient.

This integrated approach supports more informed and personalized care—while ensuring that all decisions remain in the hands of the clinician.

Closing

Personalized. Data-Informed. Clinician-Led.

Our goal is to combine advanced neuroscience with clinical expertise to support care that reflects the uniqueness of every individual.

Disclaimer

HALO is a clinical decision support tool intended to assist licensed healthcare providers. It does not replace clinical judgment or establish a diagnosis or treatment plan. All medical decisions are made solely by the treating clinician.